Faccette dentali, apparecchio invisibile (invisalign) e sbiancamento dentale professionale per migliorare l’estetica del sorriso.
L’armonia delle forme, il colore, le proporzioni dei denti e il rapporto tra questi, le gengive, le labbra e i tessuti periorali, sono tutti elementi che concorrono a formare quello che si definisce comunemente “un bel sorriso”!
Per questo motivo, è importante per ogni persona individuare, nell’insieme del viso, quali sono gli elementi che creano la disarmonia nel sorriso e correggerli.
Cogliere questi elementi è il nostro obiettivo.
Piccoli difetti come, ad esempio, uno spazio eccessivo tra i denti, un colore spento, una forma irregolare, un dente troppo piccolo o troppo aguzzo, una gengiva infiammata, labbra troppo sottili e rughe nasogeniene pronunciate, se corretti nel modo adeguato, ridonano al sorriso freschezza e al volto intero naturalezza e armonia.
In Dentalworld effettuiamo i seguenti trattamenti:
- faccette estetiche (veneers) sui denti presenti in arcata, per migliorare visibilmente il sorriso
- ortodonzia invisibile con tecnica Invisalign, effettuata con una serie di mascherine trasparenti (aliner) che correggono le malposizioni dei denti
- odontoplastica con additionals, per correggere forma e dimensioni dei denti e armonizzare il sorriso;
- sostituzione di otturazioni grigie in amalgama con materiali estetici che si integrano perfettamente con il dente;
- curettage gengivale, per ottenere gengive sane, rosee e ben definite;
- filler per labbra e rughe naso-labiali, per ritrovare tono e freschezza sui tessuti periorali.
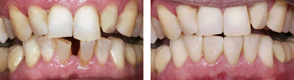
Faccette dentali (faccette estetiche)
La possibilità di un sorriso più bello per tutti!
Possedere un bel sorriso permette di armonizzare tutte le caratteristiche e le particolarità di ogni singolo volto.
La sicurezza e l’autostima che derivano dal poter sorridere con naturalezza, senza nascondere denti storti, irregolari in forma e/o colore, macchiati, distanziati tra loro, facilita il poter affrontare al meglio qualsiasi situazione sia in ambito relazionale che lavorativo.
In Dentalworld applichiamo, dopo una prima visita ed una attenta valutazione del sorriso e del viso del paziente, faccette estetiche con la più attuale tecnica di salvaguardia dei denti, ossia senza la preparazione di questi ultimi, nel pieno rispetto dell’integrità dentale.
Le faccette estetiche sono sottilissimi gusci in ceramica o disilicato, con spessori molto piccoli (tipo le lenti a contatto), che vengono applicate direttamente sui denti senza toccarli o, se necessario effettuando solo una leggera modifica sullo smalto coronale. Il risultato che si ottiene è assolutamente naturale donando al paziente un sorriso bello e armonico.
La tecnica utilizzata in Dentalworld permette al paziente di valutare in anteprima il risultato finale, grazie al cosiddetto “mock-up”, cioè la simulazione del sorriso da ottenere.
Le faccette dentali permettono di ottenere:
- la riabilitazione estetica dell’intero gruppo frontale in una sola seduta;
- la rimozione mini invasiva della sostanza dentale sana (quando necessario);
- la riduzione del numero degli appuntamenti in studio
Regalati il sorriso che hai sempre desiderato!
Prenota ora una visita specialistica
Apparecchio invisibile (Invisalign)
Lo studio del singolo caso, sia esso di un paziente adulto, adolescente o bambino permette di personalizzare il piano di trattamento ortodontico mediante l’utilizzo delle mascherine trasparenti Invisalign.
In Dentalworld con l’ausilio di tecnologie all’avanguardia è possibile rilevare le impronte dentali con lo scanner intraorale (senza prendere più le impronte con i metodi tradizionali) in modo molto più confortevole per il paziente.
Nella stessa seduta mediante l’utilizzo del sofisticato software Clin Check è possibile visualizzare la situazione dentale iniziale del paziente da correggere e, quella finale dopo la terapia.
L’ortodontista mostrera’al computer il percorso terapeutico da ottenere indossando le diverse mascherine trasparenti e, tutti i movimenti dentali previsti per raggiungere il risultato finale per un sorriso funzionale ed armonico.
L’Invisalign è una tecnica ortodontica di allineamento dei denti realizzata mediante l’utilizzo di una serie di mascherine trasparenti che permettono al paziente adulto di raggiungere un bel sorriso, senza avere l’inestetismo di un apparecchio ortodontico tradizionale con brackets e fili metallici.
Queste mascherine vengono sostituite ogni due-tre settimane, mentre la durata del trattamento e il numero delle mascherine dipendono dalla complessità del problema da risolvere.
Invisalign la rivoluzione dell’ortodonzia invisibile: l’apparecchio c’è ma non si vede!
Prenota ora una visita specialistica
Sbiancamento dentale professionale
Il colore dei denti non dipende, come si tende a credere, solo dallo smalto, ma anche dalla dentina. Con il passare degli anni, lo smalto può macchiarsi, pigmentandosi a causa dei cibi e delle bevande cariche di pigmento, del fumo, dell’assunzione di farmaci, mentre la dentina tende ad ispessirsi.
Tutto ciò provoca una perdita del bianco naturale del dente e della sua brillantezza. Oggi, mediante le tecniche di sbiancamento professionale, è possibile ritrovare un sorriso luminoso e giovane. Tale procedimento deve essere effettuato solo dopo una accurata visita odontoiatrica, in quanto solo lo specialista conosce le indicazioni e soprattutto, le controindicazioni al trattamento di sbiancamento. Ad esempio la presenza di carie, otturazioni infiltrate, gengiviti o parodontiti possono richiedere cure terapeutiche preliminari al trattamento sbiancante.
Il sorriso è un elemento di appeal e comunicazione e avere denti bianchi e luminosi rappresenta il desiderio di molti.
In Dentalworld effettuiamo metodiche di sbiancamento professionale, realizzate mediante l’utilizzo di speciali apparecchiature con luce a LED che permettono, nel pieno rispetto dell’integrità dei denti, di ottenere, in poco più di un’ora, un sorriso più bianco e brillante.
Se necessario, è possibile ripetere più sedute consecutive di sbiancamento, ad intervalli di 15 – 20 giorni l’una dall’ altra, fino all’ottenimento del risultato più soddisfacente per il paziente.








